23950 Franz Road Suite 700, Katy, TX , 77493

Our dedicated team treats each child as if they were our own, fostering a warm and welcoming atmosphere that puts both parents and children at ease.
At Smiles ON Orthodontics, Dr. Ney & Dr. Ozge believe that each child is unique and there's no one-size-fits-all approach to orthodontic treatment. Together, you and our pediatric orthodontists will customize a course of treatment for YOUR child based on your child's individual needs.
In some instances, there is no need for early orthodontic treatment; all we would advise is a follow-up appointment to assess the development of the jaws and teeth. However, the only way to ascertain this is through a comprehensive orthodontic consultation; come on in for a complimentary orthodontic examination! You'll discover that the kids truly enjoy spending time in our office.
American Association of Orthodontists Recommendation For Orthodontic Check-Ups No Later than Age 7
Problems to Watch For in Seven Year Olds

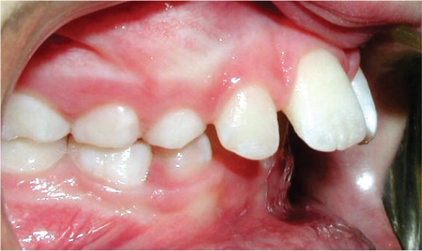
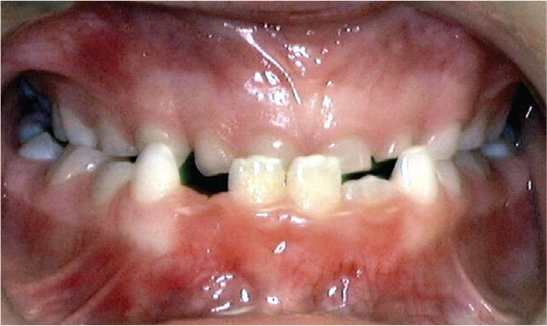
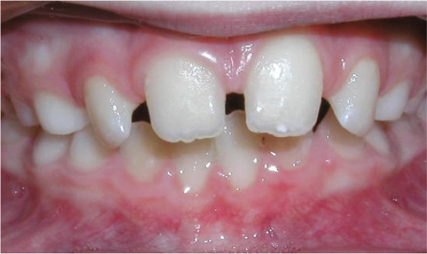
Anterior Crossbite

Posterior Crossbite

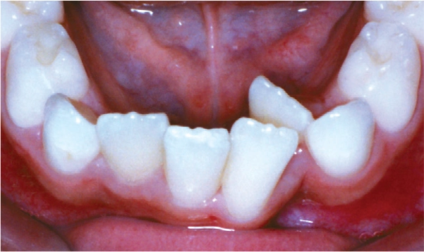
Crowding

Open Bite

Protrusion

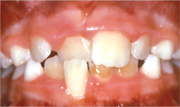
Ectopic Eruption
Ectopically erupting maxillary molar

Complete Class III

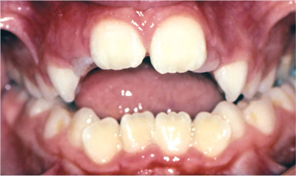
Diastema

Oral Habits
The Reasons for This Examination Follow:
- The posterior occlusion is established when the first molars erupt. At that time, one can evaluate the antero-posterior and transverse relationships of the occlusion, as well as discover any functional shifts or crossbites.
- Incisors have begun to erupt and problems can be detected such as crowding, habits, deep bites, open bites and some jaw discrepancies.
- For some, a timely evaluation will lead to significant treatment benefits; for others, the principal immediate benefit is a parent’s peace of mind.
The AAO does not advocate comprehensive orthodontic treatment at age 7. However, interceptive treatment may be appropriate in the kinds of problems shown on the reverse. Final treatment decisions should be made among the parent, child’s dentist and orthodontist.
Malocclusions, like those illustrated above, may benefit from early diagnosis through full orthodontic examination.
Dr. Ney & Dr. Ozge's goal is to provide each patient with the most appropriate treatment at the most appropriate time.

